이번 포스팅에서는 위염이 어떤 것인지 발생했을때 위염 증상은 어떤 것들이 있는지 알아보고, 치료법과 예방법에 대해서도 알아보겠습니다.



현재 우리나라 암 발생률 1위는 위암으로, 2020년 우리나라 위암 환자 비율을 살펴보면 위암 환자 10명 중 2명은 위염이 원인인 것으로 나타났습니다. 따라서 만성적으로 위염이 있는 경우 위암 발생 위험이 높아지므로 위염 증상을 알고 의심되면 검사를 받고 치료를 받아야 합니다.



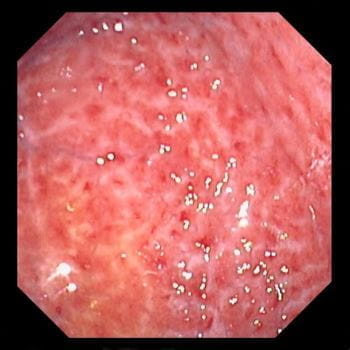
위염이란?
위는 우리가 섭취한 음식을 소화하는 기관입니다. 위염은 여러 가지 원인에 의해 위 점막이 손상되고 염증이 생기는 질환입니다. 위염은 여러 가지 원인에 의해 발생할 수 있지만 일반적으로 음식이 가장 흔한 원인입니다. 위염은 위궤양과 혼동하는 경우가 많지만, 치료하지 않고 방치하면 위궤양으로 진행될 수 있는 다른 질환입니다. 치료하지 않고 방치하면 염증이 만성화되어 위궤양이나 암으로 진행될 수 있으므로 조기 치료가 중요합니다.
위염은 급성 위염과 만성 위염으로 나눌 수 있습니다. 급성 위염은 헬리코박터균, 박테리아, 바이러스, 기생충, 곰팡이균 감염으로 인해 발생할 수 있습니다. 급성 위염은 심한 화상이나 뇌 손상과 같은 스트레스로 인해 발생할 수도 있으며, 알코올이나 약물에 의해서도 발생할 수 있습니다.



만성 위염은 여러 가지 염증 원인이 연속적으로 발생하여 발생하는 질환으로, 위를 침범하는 염증 세포의 수가 급성 위염과는 다릅니다. 만성 위염은 헬리코박터균 감염, 흡연, 약물, 알코올 등이 원인이 되며, 그 외에도 잘못된 식습관으로 인한 담즙 역류, 위 수술 등이 원인이 됩니다.
위염 증상 10가지
위염 증상 - 소화불량
위염의 또 다른 증상은 소화 불량입니다. 소화불량 증상은 경미한 증상부터 심한 증상까지 다양하며, 상복부의 타는 듯한 통증이나 가슴의 작열감 등이 나타날 수 있습니다. 제산제 같은 약이 도움이 될 수 있지만, 약을 먹어도 증상이 완화되지 않는다면 의사의 진찰을 받는 것이 좋습니다.



위염 증상 - 대변 문제
놀랍게도 위염이 있으면 대변의 모양과 색이 변할 수 있습니다. 컨디션이 좋을 때와 비교했을 때 색이 더 진해지고 타르처럼 보일 수 있습니다. 이러한 변화를 발견하면 위 내부에 출혈이 있을 수 있으므로 가능한 한 빨리 의사의 진찰을 받는 것이 중요합니다.



위염 증상 - 체중 감소
위염이 있으면 메스꺼움, 식욕 부진, 구토 등의 증상으로 인해 정상적인 식사를 할 수 없기 때문에 가능한 한 부드럽고 자극적이지 않은 음식을 먹어야 하며, 이는 자연스럽게 체중 감소로 이어집니다. 위가 음식을 제대로 받아들이려면 최소 3일에서 7일이 걸릴 수 있으며, 그 동안에는 소화가 잘되는 부드러운 음식을 섭취하는 등 식단에 많은 제한을 받게 되어 체중 감소로 이어집니다.
위염 증상 - 복통
위염의 가장 흔한 증상은 복통입니다. 위 내벽에 염증이 생기면 명치 주위에 통증을 유발할 수 있습니다. 위염은 복부 중앙 상부에 복통이나 복부 불편감을 유발하는 것으로 알려져 있습니다. 복부 통증은 타는 듯하거나 졸졸 흐르는 느낌으로 느껴질 수 있습니다.






위염 증상 - 구토
메스꺼움과 구토는 위염의 흔한 증상이며, 위염으로 인해 위장에 염증이 생겨 음식물을 내려놓기 어려워질 수 있습니다. 위는 매우 민감하기 때문에 부드러운 음식을 소량만 섭취하고 흡수하는 것이 도움이 될 수 있습니다. 또한 기름진 음식, 매운 음식, 산성 음식을 피하는 것도 도움이 될 수 있습니다.



위염 증상 - 설사
위염은 여러 차례 설사를 유발할 수 있습니다. 급성 위염은 바이러스, 박테리아 또는 스트레스에 의해 유발되는 경우가 많습니다. 위벽에 염증이 생기면 섭취한 음식물을 분해하는 위장의 기능이 저하되어 설사를 유발할 수 있습니다.
위염 증상 - 복부 팽만감
위염이 있으면 배가 더부룩한 느낌을 경험할 수 있습니다. 일반적으로 바로 알아차릴 수 있는 증상은 아니지만, 산성 음식을 먹은 후 복부 팽만감이 느껴진다면 위염이 있을 수 있다는 좋은 신호이므로 의사의 진찰과 상담을 받는 것이 도움이 됩니다.



위염 증상 - 트림
위벽에 염증이 생기면 소화불량이 발생하여 트림이 자주 나올 수 있습니다. 이러한 증상이 나타나면 상태가 악화되는 것을 방지하기 위해 의사의 진찰을 받는 것이 좋습니다.



위염 증상 - 메스꺼움
위염의 일반적인 증상은 통증과 함께 메스꺼움입니다. 음식의 시각이나 냄새만으로도 고통스러울 수 있습니다. 심한 경우에는 식사 후 구토를 유발할 수도 있습니다. 이러한 메스꺼움 증상이 나타나면 물을 충분히 마셔 수분을 보충하고 죽과 같이 부드럽고 소화가 잘되는 음식을 섭취하는 것이 중요합니다.
위염 증상 - 식욕 부진
많은 사람이 식욕 부진을 몸이 아프다는 신호로 받아들이며, 이는 감염, 감기, 독감 등 다양한 원인으로 인해 발생할 수 있습니다. 식욕 부진을 경험하고 있다면 심각한 건강 문제를 배제하기 위해 의사의 진찰을 받는 것이 중요합니다. 경우에 따라 약물이 식욕을 회복하는 데 도움이 될 수 있습니다. 약을 복용한 후에도 식욕이 돌아오지 않는다면 감염이 발생했다는 신호일 수 있으므로 병원에 방문해야 합니다.



위염 치료법
급성 위염의 치료는 2일 정도 음식을 금식하고 죽과 같은 유동식을 섭취하는 것으로 시작하여 계피의 양을 늘리거나 일반 식사로 변경할 수 있습니다. 그러나 급성 위염의 원인이 폐렴이나 독감 등의 합병증인 경우에는 원인 질환의 치료가 동반되어야 합니다.



약물 치료의 경우 위궤양 치료와 유사하게 제산제, 항궤양제, 진경제 등을 사용하지만, 외인성 급성 위염의 치료는 약물 치료 전에 언급했듯이 식이 주의사항을 주의 깊게 준수해야 합니다. 만성 위염은 진행성 병변으로 원인이 명확하게 밝혀지지 않아 실제 원인 치료는 없으며 대증 요법을 시행합니다. 따라서 카페인, 알코올, 향신료, 차갑고 뜨거운 음식이나 음료, 항생제, 아스피린과 같은 약물을 피하는 것이 중요합니다.
위염 예방법
우선 위염을 미리 예방하기 위해서는 위와 같은 증상이 나타나면 병원을 방문하는 것이 좋습니다. 신선한 음식을 섭취하고 맵거나 짠 음식과 같은 충격적인 음식을 섭취하지 않는 것이 좋습니다. 약물 과다 복용, 흡연 또는 음주를하지 말고 산도가 높은 과일을 피하는 것이 좋습니다. 또한 취침 2 시간 전에 음식을 먹는 등 공정한 식습관을 형성하고 평상시에는 과식하지 않는 것이 좋습니다.



이렇게 위염 증상과 위염 치료법, 예방법에 대해서 알아보았습니다. 건강은 나빠지기 전에 미리미리 관리하는 것이 좋으며 증상이 약하게 나타나더라도 의심이 된다면 꼭 전문가를 통해 상담받고 관리하시기 바랍니다.
유방암 초기증상 8가지 최종정리
이번 포스팅에서는 여성 암 중 1위를 찾지 하고 있는 유방암 초기증상에 대해서 알아보겠습니다. 유방암은 선진국 질병이며 미국에서 가장 흔한 암입니다. 미국 여성 8명 중 1명이 유방암에 걸리
onestarv.com
폐암 초기증상 잔기침 심장 두근거림 증상확인
폐암 초기증상 잔기침 심장 두근거림 증상확인 갑자기 기침을 많이 하고 목소리가 쉰다거나, 날카롭게 쑤시는 듯한 가슴통증이 있으신가요? 기침을 하다가 피가 섞인 가래가 나오시나요? 이러
onestarv.com
오미자 효능 부작용 최종정리
이번 포스팅에서는 오미자 효능과 부작용에 대해서 알아보겠습니다. 오미자란 무엇인가요? 오미자 열매는 신맛, 쓴맛, 매운맛, 짠맛, 단맛의 다섯 가지 맛이 모두 혼합된 것으로 알려져 있습니
onestarv.com
댓글