이번 포스팅에서는 여성 암 중 1위를 찾지 하고 있는 유방암 초기증상에 대해서 알아보겠습니다.



유방암은 선진국 질병이며 미국에서 가장 흔한 암입니다. 미국 여성 8명 중 1명이 유방암에 걸리며, 과거에는 우리나라 유방암 발병률이 감소할 수 있다고 여겨졌지만 생활 방식이 서구화되고 영양 섭취가 개선되면서 2001년부터 여성 암 발병률 1위를 차지하고 있습니다.
유방암이란?
유방암은 유방에 암세포로 구성된 덩어리로 이루어진 암입니다. 유방암은 일반적으로 유방의 유관과 엽에서 발생하며, 가장 흔한 유방암 유형은 "침윤성 유관 암종"입니다. 유방암은 남성에게도 발생할 수 있지만 환자의 99%는 여성입니다. 대부분과 다르게 우리나라 통계자료의 경우 전체 암에서는 5위를 차지하고, 여성암에서는 발생률 1위를 차지하고 있습니다.



이런 결과의 주요 원인은 비만, 모유 수유 감소, 서구화된 식습관입니다. 우리나라 유방암의 특징은 서양에 비해 상대적으로 젊은 나이에 발생한다는 점입니다. 다행히 유방암은 조기에 발견하면 95% 이상 완치가 가능합니다. 하지만 유방암은 다른 암과 마찬가지로 조기에 치료하지 않으면 전신으로 전이되어 심각한 결과를 초래할 수 있는 암입니다. 이제 유방암 초기증상 8가지에 대해 자세히 알려드리겠습니다.
유방암 초기증상 8가지 총정리
유방암 초기증상 - 유방 크기 변환
유방은 일반적으로 신체만큼 빠르게 크기가 변하지 않으며, 항상 완벽한 대칭을 이루는 것은 아니지만 대개는 대칭에 가깝습니다. 하지만 유방암 초기증상이 나타나면 한쪽 유방이 유난히 부어 있거나 다른 쪽 유방과 다르게 느껴지고 유방의 모양이 예전과 달라지는 것을 느낄 수 있습니다.



유방암 초기증상 - 유방 불편감
생리를 할 때 유방에 통증을 느끼는 여성은 흔합니다. 하지만 이러한 유방 통증이 정기적으로 발생한다면 유방암 초기증상 일 수 있으므로 병원에 가서 검사를 받아보는 것이 좋습니다



유방암 초기증상 - 피부 변화
유방암 초기증상 중 하나는 피부의 변화입니다. 정상과 달리 염증성 유방암은 피부가 오렌지 껍질처럼 거칠어지거나 가렵고 부드러워질 수 있습니다. 이렇게 유방 피부가 오렌지 껍질처럼 보이는 것은 암으로 인해 림프관이 막혀 부종이 생기고 땀구멍이 커져 피부가 두꺼워지기 때문입니다.
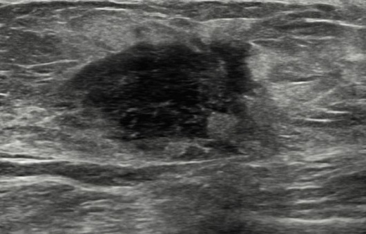
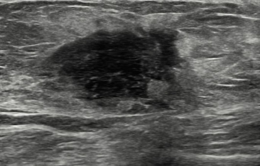
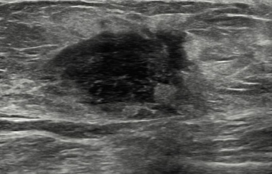
유방암 초기증상 - 덩어리 또는 멍울
유방암을 알아차리는 가장 일반적인 방법은 유방에 덩어리 또는 만져지는 덩어리가 만져지는 것입니다. 멍울은 이전에 본 적 없는 신비한 덩어리이며, 악성이라면 단단하고 고정되어 움직이지 않으며 모양이 불규칙합니다. 모든 멍울이 악성은 아니며 양성일 수도 있으므로 의사와 정기적으로 검진을 받는 것이 중요하므로 이러한 유방암 초기증상을 그냥 지나치지 마시기 바랍니다.



유방암 초기증상 - 유두 함몰
이전에 유두 함몰이 없었는데 갑자기 체중이 증가하거나 신체에 다른 변화가 없는데 양쪽 유두가 아닌 한쪽 유두만 서서히 함몰되는 경우 유방암 초기증상 일 수 있습니다. 여성들은 이를 일시적인 현상이라고 생각하거나 꽉 끼는 보정 속옷을 입었기 때문이라고 생각하여 너무 가볍게 여기는 경우가 많습니다. 가끔 이런 일이 발생하는 경우 의사의 진찰을 받는 것이 좋습니다.



유방암 초기증상 - 유두 분비물
임신 중이거나 모유 수유 중이 아닌데 유두에서 분비물이 나오는 경우 유방암 초기증상일 수 있습니다. 고름, 누런 분비물, 피가 섞인 분비물 등 암으로 인한 분비물은 특히 흔한 유방암의 초기 증상이며 다른 증상과 함께 나타나는 경우가 많습니다.
유방암 초기증상 - 유두상처
유두 치료에 반응하지 않는 작은 상처를 유발합니다. 시간이 지나면 궤양으로 변하고 일부는 서로 섞이기도 합니다. 유방암 초기증상은 유두, 유륜 및 피부 염증에서 발생할 수 있습니다.



유방암 초기증상 - 통증
유방 통증은 유방암 초기증상 중 하나이며 가임기 여성의 속 쓰림은 호르몬 자극으로 인해 발생할 수 있습니다. 유방암의 다른 초기 증상이 동반되는 경우 의사와 상담해야 하는 이유입니다. 통증이 지속되고 명백한 이유가 없는 경우 의사를 방문하는 것이 좋습니다. 그러나 모든 통증이 유방암의 증상은 아닙니다. 매우 드물게 흉부 낭종의 전조 일 수 있습니다.



초기에는 통증을 느끼지 못하지만 덩어리가 만져지고 손으로 만질 수 있다면 유방암의 가장 초기 단계 일 가능성이 높으며 덩어리가 가슴에있을 수도 있지만 겨드랑이에 있을 수도 있습니다. 이러한 유방암 초기증상이 나타나면 즉시 병원에 가서 검사를 받는 것이 좋습니다.
유방암 자가검진하기
유방암 자가 검진에는 육안 및 촉각 검진 방법이 있습니다. 전신 거울 앞에 서서 유방의 윤곽, 대칭, 움푹 들어간 곳이 있는지 확인합니다. 엄지와 약지를 제외한 가운데 세 손가락으로 유방의 덩어리나 피부 변화를 만져봅니다. 유두에서 비정상적인 분비물이 나오는지, 겨드랑이에서 덩어리가 만져지는지 확인할 수도 있습니다.



유방암 예방법
면역력을 높이는 비타민과 미네랄이 풍부한 항산화 성분이 풍부한 채소와 과일을 많이 섭취하십시오. 아마씨유, 등푸른 생선, 들기름, 참기름과 같이 불포화 지방산이 많이 함유된 지방을 골고루 먹어야 합니다.
알코올은 에스트로겐과 안드로겐의 혈중 농도를 증가시켜 유방암의 위험을 증가시킬 수 있으므로 음주를 줄이는 것이 가장 좋으며, 폐경 후 여성은 유방암의 위험이 증가하므로 신체 활동과 균형 잡힌 식단을 통해 건강한 체중을 유지하는 것이 중요합니다.



대부분의 사람들은 유방암이 아니더라도 유방 통증을 경험하거나 경험하고 있으며, 유방암이 걱정되어 병원을 방문하더라도 유방암 발병률이 매우 낮습니다.
유방암 초기증상에 대해서 알아보았습니다. 나라에서 진행하는 건강검진을 통해서 40세부터 2년에 한 번 유방암 검진을 무료받을 수 있으므로 꼭 정기적으로 검진받으시고 건강 관리하시기 바라며, 알려드린 내용으로 건강 관리에 유의하시기 바랍니다.
전립선암 초기증상 11가지와 체크리스트
이번에는 전립선암 초기증상 11가지와 전립선암 초기증상을 직접 체크해 보는 체크리스트를 알려드리겠습니다. 전립선암이란 전립선암은 경고 신호가 거의 없거나 전혀 없는 경우가 많습니다.
onestarv.com
프로폴리스 효능 부작용 완벽정리
이번 포스팅에서는 프로폴리스 효능 그리고 프로폴리스 부작용에 대해서 완벽하게 정리해 보겠습니다. 프로폴리스는 꿀벌이 다양한 식물에서 채취한 식물 수지에 침과 효소를 섞어 만든 천연
onestarv.com
역류성 식도염 증상 9가지 치료방법
역류성 식도염 증상 9가지 치료방법 이번에는 많은 분들이 겪고 있는 역류성 식도염 증상, 치료방법, 역류성 식도염 예방법에 대해서 알아보도록 하겠습니다. 역류성 식도염은 소량의 위 내용물
onestarv.com
댓글