이번에는 전립선암 초기증상 11가지와 전립선암 초기증상을 직접 체크해 보는 체크리스트를 알려드리겠습니다.

전립선암이란
전립선암은 경고 신호가 거의 없거나 전혀 없는 경우가 많습니다. 전립선암의 조기 발견은 이 질병에 대항하는 가장 강력한 무기 중 하나입니다.



남성에게만 있는 전립선은 밤톨 모양이며 평균적으로 호두 크기 정도라고 합니다. 길이는 다양하지만 약 4cm 정도이며 방광과 요도 사이의 골반 깊숙한 곳에 위치합니다. 전립선이 하는 일은 매우 기본적인 배뇨와 정액이 나오는 방식입니다. 전립선과 관련된 질병에는 전립선암과 전립선 비대가 있습니다.
국소 암인 경우 전립선암의 초기 증상이 거의 없기 때문에 전립선암에 걸렸다는 사실을 알기란 거의 불가능합니다. 따라서 증상이 없더라도 50세가 넘으면 정기적으로 검진을 받아 자신의 건강 상태를 확인하는 것이 중요합니다. 그럼 지금부터 전립선암의 5대 조기 징후와 치료 방법에 대해 자세히 알아보겠습니다.
미국 질병통제예방센터의 전립선암 증상 목록에 따르면, 아래 증상 중 하나 이상이 나타나면 의사의 진찰을 받아야 한다는 경고 신호입니다. 대부분의 경우 뼈나 골반 부위에 통증이 있으면 암이 퍼졌다는 신호일 수 있습니다.



전립선암 원인
전립선은 정액의 일부를 생성하는 남성 고유의 기관입니다. 전립선은 방광에서 나오는 입구인 요도를 둘러싸고 있으며 밤송이 모양을 하고 있습니다. 전립선은 정액의 일부를 생산하는 것 외에도 정자에 영양을 공급하고 운동성을 촉진하는 전립선액을 분비합니다.



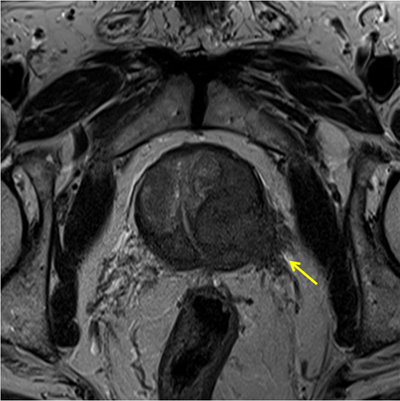
전립선암은 전립선에 암세포가 발생하는 질환입니다. 전립선의 일부 세포가 정상 세포의 성장을 조절하는 능력을 상실하고 통제할 수 없을 정도로 성장하여 악성 종양이 되는 질환입니다. 일반적으로 전립선암은 주로 전립선 상피 세포에서 발생하는 선암으로, 약 70~80%가 전립선 말초 부위에서 발생합니다.



전립선암 초기증상 11가지
전립선암 초기증상 - 1. 잔뇨
잔뇨란 소변을 보고 난 직후에 방광 내에 소변이 남아있는 것으로 이 또한 전립선암뿐 아니라 전립선의 전체적인 문제 발생 시 보편적으로 발생하는 증상입니다.
전립선암 초기증상 - 2. 신경장애
전립선암은 척수를 압박하여 하지 운동 장애를 유발할 수 있으며, 이는 전체 전립선암 환자의 20%에 영향을 미치며, 상식적으로 초기 단계의 암은 신경 증상을 유발하지 않지만 암이 척추를 압박하여 급성 압박을 유발하면 응급 상황이며 즉각적인 치료가 필요합니다.



전립선암 초기증상 - 3. 관절통
뼈나 관절계의 통증이 항상 전립선암을 나타내는 것은 아니지만, 가장 먼저 살펴봐야 할 증상 중 하나입니다. 전립선암은 골반 림프절, 척추, 골반 뼈와 같은 전립선 주변 조직으로 전이되는 경우가 드물기 때문에 이러한 부위에 설명할 수 없는 통증이 있으면 의사와 상담하는 것이 중요합니다. 일부 남성은 허리, 엉덩이 또는 전립선 근처 부위에 통증을 느끼지만 단순한 신경통이나 관절통으로 치부하기도 합니다.






전립선암 초기증상 - 4. 구역질, 부종
전립선암의 초기 증상을 발견하지 못하고 진행되면 메스꺼움과 부종이 나타납니다. 또한 방광 등 주변 장기를 망가뜨려 소변에 피가 섞여 나오며, 반드시 전립선암이 아니더라도 치료가 필요한 경우 혈뇨가 발생하므로 전문의의 진찰이 필요합니다.



전립선암 초기증상 - 5. 요실금
전립선암의 초기 증상 중 하나는 요도 압박으로 인해 발생하는 요실금이며, 아래와 같은 증상이 나타나면 전립선암을 의심해 볼 수 있다고 합니다. 이러한 증상들은 전립선암이 요도를 압박하여 소변이 제대로 흐르지 못하기 때문에 발생합니다. 이러한 증상이 지속되면 신부전으로 이어질 수 있습니다.
전립선암 초기증상 - 6. 소변 줄기 약화
전립선의 암세포가 요도를 압박하면 소변이 방광에서 흘러나오는 경로가 좁아져 소변 흐름이 약해집니다. 이는 전립선암 및 기타 전립선 문제의 흔한 증상입니다.




전립선암 초기증상 - 7. 잦은 소변
성인의 경우 방광에 약 400~500cc의 소변이 가득 차면 소변을 보는 것이 정상입니다. 그러나 전립선 암으로 인해 빈번한 배뇨가 발생하면 150cc 정도의 차가 될 수 있습니다. 따라서 이 증상이 지속적으로 발생하면 전립선 암이 있을 수 있다는 신호입니다.





전립선암 초기증상 - 8. 골반통
골반 통증은 진행성 전립선암의 징후일 수 있습니다. 통증은 일반적으로 옆구리, 배, 골반 부위에서 느껴지지만 암이 진행됨에 따라 뼈에서도 통증이 느껴질 수 있습니다. 이러한 부위에 통증이 있고 요로 감염 증상이 나타나면 의사를 방문하여 정확한 진단을 받는 것이 좋습니다.
##광고##
전립선암 초기증상 - 9. 혈뇨
혈뇨는 소변에 피가 섞여 나오는 증상으로, 상식적으로 신장이나 방광에 문제가 있다는 신호일 수 있으므로 미리 검사를 받아보는 것이 좋습니다. 전립선암도 혈뇨의 흔한 원인입니다. 전립선의 암세포는 전립선으로 출혈을 일으켜 혈뇨를 유발할 수 있지만, 혈뇨는 전립선암의 흔한 증상일 뿐만 아니라 요로감염이나 전립선의 거시적 문제와 같은 다른 일시적인 원인으로도 나타날 수 있습니다.






전립선암 초기증상 - 10. 몸무게 감소
체중 감소, 피로, 식욕 감퇴는 진행성 전립선암의 가장 흔한 초기 증상 중 일부입니다. 전립선암은 초기 단계에서는 치료가 더 쉽기 때문에 증상을 인식하고 정기 검진을 받는 것이 중요합니다. 좋은 식단을 섭취하는 것도 질병 발병 위험을 줄이는 데 도움이 될 수 있습니다.



전립선암 초기증상 - 11. 빈뇨
전립선암의 두 번째 조기 경고 신호는 잦은 배뇨입니다. 성인은 방광에 소변이 약 400 ~ 500cc 정도있을 때 소변을 보는 것이 일반적이지만 전립선 암의 경우 방광이 반만 차 있어도 소변을 보고 싶은 충동이 발생할 수 있습니다. 이러한 증상이 있다면 전립선암을 의심해 보아야 합니다.
▶ 전립선암 초기증상 체크리스트
- 비정상적으로 얇고 약한 소변
- 중간에 배뇨가 중단된다면
- 소변을 보는 데 시간이 걸리는 경우
- 억지로 소변을 보아야 하게 되었다면
- 소변에서 피가 보이면
- 빈번하고 쉽지 않은 배뇨
- 밤에 수시로 깨서 소변을 본다



전립선암 치료방법
전립선암 치료에는 호르몬 치료, 수술 치료, 방사선 치료, 화학 요법의 네 가지 주요 유형이 있습니다. 전립선암은 남성호르몬의 영향을 많이 받기 때문에 남성호르몬의 생성을 차단하고 전립선에 작용하지 못하게 함으로써 전립선암을 예방할 수 있습니다. 수술적 치료는 전립선 내의 암세포를 직접 제거하는 방법이며, 수술 방법이 너무 강할 경우 고에너지 방사선을 사용하여 암세포를 죽일 수 있습니다.





전립선암 예방 방법
남성은 나이가 들면서 자연스럽게 전립선 비대증 등 전립선암의 초기 증상 중 일부가 나타나지만, 한두 가지 증상이 나타난다고 해서 암에 걸렸다고 단정할 수는 없습니다. 꾸준한 관리와 전립선암 예방을 통해 질병 발병 가능성을 줄이고 증상을 개선할 수 있습니다.
전립선 건강에 가장 나쁜 것 중 하나는 동물성 지방을 섭취하는 것입니다. 서구화된 식습관으로 인해 동물성 지방을 많이 섭취하면 자연스럽게 암 발생률이 높아지기 때문에 전립선암을 예방하기 위해서는 식단에서 동물성 지방의 양을 줄이고 저지방, 고섬유질 식단을 섭취하는 것이 좋습니다.
된장국이 전립선암의 초기 증상을 예방하는 것으로 밝혀진 한식을 먹는 것이 훨씬 더 유익합니다. 연구에 따르면 비타민 D, 비타민 E, 셀레늄도 전립선암의 초기 증상을 예방하는 데 도움이 된다고 합니다. 특히 토마토에 다량 함유되어 있는 리코펜과 녹차가 큰 도움이 된다고 합니다. 따라서 일정 기간 동안 건강에 좋은 음식을 꾸준히 섭취하는 것이 매우 좋을 것 같습니다.
역류성 식도염 증상 9가지 치료방법
역류성 식도염 증상 9가지 치료방법 이번에는 많은 분들이 겪고 있는 역류성 식도염 증상, 치료방법, 역류성 식도염 예방법에 대해서 알아보도록 하겠습니다. 역류성 식도염은 소량의 위 내용물
onestarv.com
프로폴리스 효능 부작용 완벽정리
이번 포스팅에서는 프로폴리스 효능 그리고 프로폴리스 부작용에 대해서 완벽하게 정리해 보겠습니다. 프로폴리스는 꿀벌이 다양한 식물에서 채취한 식물 수지에 침과 효소를 섞어 만든 천연
onestarv.com
대상포진 초기증상 및 치료방법 꼭 알아두세요
이번 포스팅에서는 대상포진 초기증상 및 대상포진 치료방법에 대해서 알아보도록 하겠습니다. 우선 대상포진은 수두 대상포진 바이러스에 의해 발생할 수 있습니다. 어렸을 때 수두에 걸린 사
onestarv.com
댓글