이번 포스팅에서는 췌장암에 좋은 음식과 췌장암에 나쁜 음식들에 대해서 알려드릴테니 꼭 알아두시기 바랍니다. 췌장은 소화 효소를 분비하는 중요한 기관으로 내분비 기능과 외분비 기능을 모두 담당합니다.



내분비 기능은 인슐린과 글루카곤 호르몬을 분비하여 혈당을 조절하는 것이고, 외분비 기능은 지방을 분해하는 효소를 분비하여 소화를 돕는 것입니다. 또한 췌장은 혈당을 담당하는데, 췌장암 환자의 주요 문제 중 하나는 혈당 관리에 문제가 있고 식습관에 주의하지 않으면 당뇨병에 걸리기 쉽다는 것입니다.



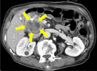
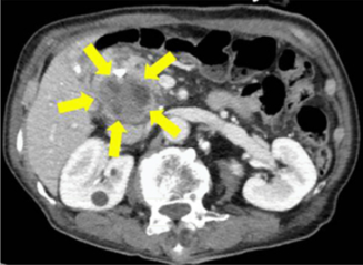
췌장암 환자는 소화액을 분비하는 샘인 췌장에 종양이 생겨 췌장에 문제가 생기면 소화에 문제가 생기고, 췌장에 문제가 생기면 과도한 구토, 식욕부진, 체중감소, 탈수 등이 발생해 건강이 나빠지고 치료 결과도 나빠질 수 있습니다. 그러므로 알려드리는 췌장암에 좋은 음식과 췌장암에 나쁜 음식 리스트들을 꼭 참고하시기 바랍니다.
췌장암에 좋은 음식
췌장암에 좋은 음식 - 고구마
고구마는 혈당 지수를 낮출 뿐만 아니라 장기 기능을 개선하여 췌장을 보호하는 데 도움이 되는 것으로 알려져 있습니다. 혈당 지수가 높은 음식은 췌장을 자극하여 여러 가지 질병을 유발하므로 주의하고 일정 기간 동안 고구마를 섭취하면 장기 기능을 개선하고 췌장암의 위험을 크게 낮출 수 있습니다.






췌장암에 좋은 음식 - 브로콜리
브로콜리는 칼로리가 낮고 영양이 풍부한 채소로 몸에 좋은 음식 목록에 항상 빠지지 않는 식품입니다. 양배추는 위장에 좋은 것으로 알려져 있지만, 브로콜리는 위암과 위궤양을 유발하는 헬리코박터 파일로리균을 죽이는 셀레놀라핀이라는 화합물을 포함하여 양배추보다 훨씬 더 많은 비타민을 자랑합니다. 브로콜리의 영양소를 보존하려면 끓는 물에 살짝 데쳐서 생으로 먹어야 하며, 찬물에 헹구면 영양소가 파괴되므로 가볍게 헹구거나 식혀서 섭취하는 것이 좋습니다.






브로콜리에는 항암 효과가 뛰어난 것으로 알려진 셀레늄이 함유되어 있습니다. 또한 암과 위궤양 발병의 원인이 되는 헬리코박터 파일로리균을 제거하는 셀로판도 함유하고 있습니다. 또한 노화를 촉진하고 성인병을 포함한 다양한 질병을 일으키는 원인이되는 활성 산소를 중화시킵니다.
췌장암에 좋은 음식 - 문어
낙지는 체력을 높이는 칼로리와 단백질이 다른 어떤 음식보다 많이 함유되어 있어 췌장암에 좋은 음식입니다. 소가 송아지를 낳거나 여름철 더위에 지쳤을 때 낙지 서너 마리를 먹이면 기력이 회복된다고 합니다. 낙지의 영양소는 다른 음식에 비해 체력을 높이는 칼로리와 단백질이 높습니다.



췌장암에 좋은 음식 - 카레
카레에는 강황, 회향, 정향이 함유되어 있으며, 강황의 커큐민 성분은 항돌연변이, 항산화, 항암 작용이 있어 췌장암에 좋은 음식입니다. 이러한 성분은 췌장암 예방에 매우 효과적인 것으로 나타났습니다.



췌장암에 좋은 음식 - 해조류, 후코이단
미역에 함유된 후코이단은 암 환자가 주목해야 할 성분 중 하나입니다. 암세포 사멸을 유도하는 기능이 있고 베타글루칸과 같은 반응이 거의 없기 때문에 암환자를 위한 영양 보충제라고 할 수 있습니다. 하지만 암환자가 항암 효과를 얻기 위해서는 매일 3g 이상의 후코이단을 섭취해야 한다고 합니다. 해조류에 함유된 후코이단 성분은 매우 적기 때문에 비타민 D와 같이 고순도 후코이단을 별도로 섭취하는 것이 좋습니다.
췌장암에 좋은 음식 - 차가버섯
차가버섯에는 베타글루칸이라는 활성 성분이 다량 함유되어 있는데, 이 성분은 체내 암세포의 증식을 억제하고 암세포를 공격하여 강력한 항암 효과를 발휘하는 것으로 알려져 있습니다. 이러한 항암 효과 덕분에 차가버섯은 우수한 항암 식물로 알려져 있으며, 여러 연구를 거쳐 러시아에서는 공식적으로 항암 치료제로 사용되고 있습니다.



췌장암에 좋은 음식 - 올리브 오일
올리브 오일에는 암세포를 죽이는 것으로 알려진 화합물인 올레오칸탈이 함유되어 있어 올리브 오일은 암 예방과 재발 방지에 효과적인 것으로 나타났습니다. 올리브 오일은 흡수율을 높이기 위해 아침에 공복에 섭취하는 것이 좋습니다.



췌장암에 좋은 음식 - 현미
현미의 섬유질은 장에서 혈류로 다량의 설탕이 흡수되는 것을 지연시켜 췌장의 인슐린 분비 부담을 줄여줍니다. 췌장암에 걸렸고 통증이 있는 경우 다른 음식 대신 현미 죽을 먹으면 통증을 줄이는 데 도움이 될 수 있습니다.
췌장암에 좋은 음식 - 토마토
토마토의 리코펜은 면역 체계를 강화하고 죽상 동맥 경화증과 싸우는 것으로 나타났으며 항산화 특성도 가지고 있습니다. 토마토는 황적색을 띠는 카로틴과 붉은색을 띠는 리코펜으로 구성되어 있습니다. 대부분의 토마토와 달리 리코펜은 강력한 항산화제이며 동맥경화를 예방하고 면역력을 높이며 췌장암과 전립선암을 예방하는 것으로 나타났습니다. 토마토의 리코펜은 올리브 오일로 조리하면 풍미, 비타민 A, C 미네랄, 당 유기산이 증가하여 더욱 풍부해집니다.



췌장암에 좋은 음식 - 돼지 감자
돼지 감자에는 일반 감자보다 75배 많은 이눌린이 함유되어 있어 췌장에서 인슐린을 분비하여 혈당을 낮추고 당뇨병을 예방하는 데 도움이 됩니다.
췌장암에 좋은 음식 - 양배추
위장 보호 특성으로 잘 알려진 양배추는 염증과 싸우는 것으로 나타났습니다. 위를 보호하는 비타민 U와 위 출혈을 억제하여 췌장을 보호하는 비타민 K가 풍부합니다. 이것이 췌장암에 좋은 음식 인 이유입니다.
전문가의 의견에 따르면 췌장암 환자는 하루에 두 번 꾸준히 섭취하는 것이 좋습니다. 또한 열은 영양소를 파괴하므로 단시간에 조리하는 것이 좋습니다.






췌장암에 좋은 음식 - 비타민D
많은 암 환자에게 식단에서 가장 중요한 성분을 꼽으라고 하면 비타민 D를 꼽습니다. 실제로 비타민 D는 면역 체계를 강화하고 암세포의 성장을 막는 등 항암 작용을 하는 것으로 공식적으로 인정받고 있습니다.
실제로 30분만 햇볕을 쬐어도 충분한 비타민 D를 얻을 수 있다고 알려져 있지만, 현대 사회에서는 예전만큼 햇볕을 많이 쬐지 못하므로 보충제를 섭취하는 것도 좋은 방법입니다.


췌장암에 좋은 음식 - 참마
참마에는 소화불량을 극복하고 위벽을 강력하게 보호하는 뮤신이 많이 함유되어 있다고 합니다. 또한 췌장을 돌보는 것으로 알려져 있기 때문에 많은 췌장암 환자들이 정기적으로 참마를 먹음으로써 질병을 극복 할 수 있었습니다. 참마는 이렇게 췌장암에 좋은 음식이므로 꼭 알아두시기 바랍니다.
췌장암에 좋은 음식 - 아티초크
아티초크에는 클로로겐산이 함유되어 있습니다. 클로로겐산은 항산화제로 작용하여 니트로소아민의 생성을 제한합니다. 또한 아티초크에는 이눌린이 함유되어 있어 당분 흡수를 완화하고 혈당을 조절하여 췌장암을 포함한 다양한 암을 예방하는 데 도움이 될 수 있습니다.






췌장암에 좋은 음식 - 시금치
췌장암에 좋은 음식 중 하나인 시금치는 비타민, 칼슘, 칼륨, 철분, 셀레늄 등의 영양소가 풍부하고 활성산소 제거제, 항산화제, 근육 형성에 도움이 되는 단백질의 훌륭한 공급원입니다. 췌장암 환자에게 가장 좋은 음식 중 하나인 시금치에는 췌장암 증상을 완화하고 췌장암 발병 위험을 낮추는 것으로 알려진 폴리페놀도 풍부합니다.






췌장암에 좋은 음식 - 마늘
마늘은 혈전 형성을 줄이고 혈소판 응집을 억제하여 혈액이 응고되는 것을 방지하기 때문에 췌장암에 가장 좋은 음식 중 하나입니다. 마늘을 규칙적으로 섭취하면 췌장암의 위험이 감소한다고합니다.



췌장암에 좋은 음식 - 저지방 요거트
미국 국립암연구소의 권장 사항 중 하나는 일정 기간 동안 저지방 요거트를 섭취하는 것입니다. 저지방 요거트는 유산균이 풍부하여 소화를 돕고 소화 기관과 췌장을 보호하여 위험을 줄일 수 있습니다. 또한 췌장염에 좋은 음식이라는 소문도 있습니다.
췌장암에 나쁜 음식
패스트푸드와 패스트푸드에 사용되는 동물성 지방은 이미 암을 유발하는 물질로 알려져 있지만, 패스트푸드의 인기는 식습관을 바꾸고 암 발생률을 높였습니다.



- 지방이 많은 음식, 설탕, 마요네즈, 밀가루와 같은 정제된 탄수화물.
- 콩, 양파, 옥수수, 오이, 피망, 무, 사과, 멜론, 멜론, 수박 등과 같은 가스 생성 식품.
- 피클, 소고기, 과도한 향신료와 같은 자극적인 음식.
- 술, 담배, 탄산음료, 카페인 음료.
- 적색육은 콜레스테롤과 지방으로 인해 췌장암에 나쁜 음식입니다.
췌장암 증상을 치료하고 예방하기 위해서는 평소 즐겨 먹는 충격적인 음식과 기름진 음식을 피하는 것이 중요하며, 서구화된 식습관을 바꾸는 것도 중요합니다. 췌장암에 좋은 음식을 기억하고 평소 식단에 추가하여 관리하시기 바랍니다.
식도암 초기증상 10가지 상세정리
이번 포스팅에서는 식도암 초기증상 가지에 대해서 알아보겠습니다. 식도는 입과 위장을 연결하는 신체 장기의 일부입니다. 음식물을 섭취하면 식도를 통해 위장으로 전달됩니다. 식도의 이 부
onestarv.com
대장암 초기증상 설사 혈변 치료 골든타임
안녕하세요. 오늘은 매년 증가하고 있는 대장암 초기증상에 대해 이야기해 보려고 합니다. 대장암은 60세 이상이 전체 대장암 환자의 72%를 차지하며, 대장암의 원인은 여러 가지가 있지만 주로
onestarv.com
유방암 초기증상 8가지 최종정리
이번 포스팅에서는 여성 암 중 1위를 찾지 하고 있는 유방암 초기증상에 대해서 알아보겠습니다. 유방암은 선진국 질병이며 미국에서 가장 흔한 암입니다. 미국 여성 8명 중 1명이 유방암에 걸리
onestarv.com
댓글