췌장암 초기증상 10가지 최신버전

암 중에 조기 발견이 어렵다로 알려진 췌장암 초기증상에 대해 알아보겠습니다.
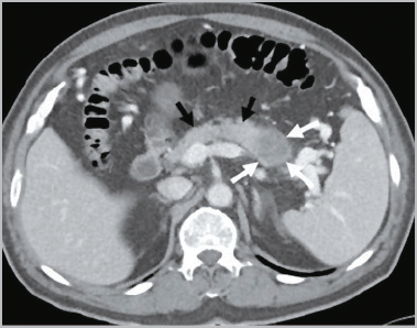
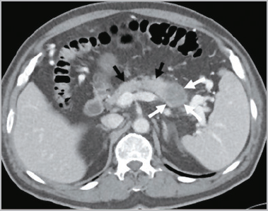
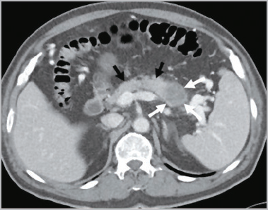
췌장암이란



췌장암은 조기 발견이 가장 어려운 암 중 하나로 알려져 있습니다. 위치상 주변에 중요한 혈관이 얽혀있고, 암 발생 시 전이 위험도 매우 높은 것으로 알려져 있어 다른 암에 비해 진단이 쉽지 않고 치료도 쉽지 않아 실제 진단을 받았을 때는 이미 수술적 치료가 늦은 경우가 많은 것으로 알려져 있습니다.
췌장암 원인
췌장암의 원인은 한 가지로 단정할 수는 없지만, 환경적 요인과 유전적 요인이 복합적으로 작용할 가능성이 높으며, 흡연이 가장 큰 원인으로 알려져 있습니다. 위험 요인으로는 고지방 및 고칼로리 식단, 커피, 과음, 당뇨병, 만성 췌장염, 휘발유, 화학 발암 물질 노출 등이 있습니다. 현재로서는 췌장암을 예방하기 위한 명확한 예방 조치나 권장 검진 기준은 없습니다.
췌장암의 유전적 형태가 알려져 있는데, 이는 췌장암에 걸린 1촌 친척이 두 명 이상인 경우 췌장암 발병 위험이 급격히 증가한다는 것을 의미합니다. 그러므로 알려드리는 췌장암 초기증상에 대해 미리 확인해 두시기 바랍니다.



췌장암 초기증상 10가지 최신버전
췌장암 초기증상 - 1. 체중감소
잠정적으로 체중 감량을 목적으로 하지 않은 갑작스러운 체중 감소는 췌장암을 포함한 여러 암의 초기 증상이라고 알려져 있습니다. 같은 양의 음식을 정상적으로 섭취한 상태에서 체중이 10% 정도 감소하면 조기에 진료를 받아야 합니다. 특히 췌장에서 췌장액이 분비되지 않으면 지방과 단백질의 흡수 능력이 떨어져 체내 지방조직과 골격근이 파괴되고 급격한 체중 감소를 유발하므로 식욕부진 등 급격한 체중 감소는 이상 증상으로 반드시 확인해야 합니다.
췌장암 초기증상 - 2. 구토
메스꺼움과 구토는 췌장암의 초기 증상일 수 있습니다. 이는 췌장암의 매우 흔한 증상입니다. 일반적으로 암은 위와 같은 증상을 유발할 수 있으며, 특히 췌장은 위 바로 옆에 있고 소장이 시작되는 십이지장과 가까워 메스꺼움과 구토가 더 쉽게 발생할 수 있습니다.






췌장암 초기증상 - 3. 복통
배변장애와 같은 단순한 증상으로는 췌장의 이상을 인지하기 어려운 것이 사실이며, 이러한 복통은 췌장이 아니더라도 소화기 계통의 어느 부위와도 관련이 있을 수 있으므로 만성적인 복통이 있다면 전문의와 상담하는 것이 좋으며, 복통이 정상과 달리 허리 주변으로 너무 심하다면 췌장에 이상이 있을 가능성이 높으므로 반드시 전문의의 진찰을 받아보는 것이 좋습니다.



췌장암 초기증상 - 4. 황달
황달은 췌장 머리에 생긴 종양이 소장으로 이어지는 총담관 부분을 막아 담즙의 흐름을 막고 혈중 빌리루빈 수치를 상승시킬 때 발생하는데, 췌장 머리에 생긴 암의 약 80%에서 발생합니다. 몸통이나 꼬리에 생긴 종양의 5~6%만이 황달을 유발하며, 황달이 발생할 때는 이미 암세포가 췌장 전체에 퍼져 간이나 림프절로 전이된 경우가 대부분입니다. 혈중 빌리루빈 수치가 증가하여 황달이 발생하면 피부와 눈 흰자위가 노랗게 변하고 소변 색이 갈색으로 변하며 대변 색이 회백색으로 변하고 피부가 가렵습니다.



췌장암 초기증상 - 5. 소변색 변경
췌장암의 초기 단계에서는 소변 색이 주황색이나 갈색으로 변할 수 있습니다. 이것은 종양의 성장이 담즙에 영향을 미쳐 체내 빌리루빈을 과도하게 유발하기 때문입니다. 그것은 소변으로 들어가서 더 어두운 색을 생성합니다. 이러한 소변 색의 변화는 췌장암의 초기 증상을 의심하게 만들 수 있습니다.
췌장암 초기증상 - 6. 소화 장애
췌장은 지방을 분해하는 효소를 생성하는 내분비 기관으로, 췌장에 문제가 생기면 지방이 함유된 음식을 소화하기 어려울 수 있습니다. 아보카도나 견과류와 같이 지방 함량이 높은 음식을 먹으면 복부 불편감을 느낄 수 있으며, 지방이 많이 함유된 음식을 먹으면 흡수되지 않은 지방이 장에서 설사를 유발할 수 있습니다.



췌장암 초기증상 - 7. 지방변
지방변은 대변에 기름기가 있거나 강한 냄새가 나는 것을 말합니다. 이러한 유형의 지방변은 췌장암의 초기 징후일 수 있습니다. 이는 성장하는 종양이 췌장의 소화 효소 생산을 방해하기 때문일 수 있습니다. 암세포는 지방이 많은 음식의 소화를 방해하여 소화 효소가 정상적으로 분비되지 않고 소화되지 않은 기름이 대변으로 전달되기 때문에 팽만감 및 변비와 같은 췌장암의 초기 증상을 유발합니다. 평소보다 대변에 거품이 많거나 기름이 많이 포함되어 물에 뜨는 증상이 나타나면 병원을 방문하세요.



췌장암 초기증상 - 8. 당뇨병
보통 혈당 관리에 신경 쓰시는 분들은 대개 당뇨병을 앓고 계신 분들인데, 췌장의 건강 관리가 중요합니다. 췌장이 자체적으로 형성하는 세포 중에는 인슐린을 생성하는 베타세포가 있는데, 이 베타세포는 혈당을 담당하는 인슐린을 합성, 저장, 분비하는 역할을 합니다. 하지만 췌장염이나 췌장암이 생기면 이러한 베타세포가 파괴되기 때문에 혈당관리를 잘하던 사람도 혈당관리에 어려움을 겪으며 심한 당뇨병에 걸릴 수 있으므로 당뇨병의 형태를 중심으로 췌장의 건강을 항상 체크할 필요가 있습니다.



췌장암 초기증상 - 9. 혈전
췌장암 초기증상 아홉번째는 다리 아랫부분에 혈전이 생기는 것으로, 혈전이 생기면 해당 부위가 붓고 통증이 발생할 수 있다고 합니다. 이 경우 췌장 및 인슐린 분비 이상에 의해서도 발생할 수 있다고 알려져 있으므로 이러한 증상이 지속된다면 정밀 검사가 필요합니다.
췌장암 초기증상 - 10. 포만감
평소보다 적은 양의 음식을 먹었는데도 지나치게 포만감을 느낄 수 있는데, 이는 췌장에 생긴 종양이 담관을 막아 공급되어야 할 담즙이 간과 담낭에 축적되기 때문입니다. 간과 담낭에 쌓인 담즙은 간과 담낭을 비대하게 만들어 장기에 압력을 가하고 평소와 다른 포만감을 준다고 합니다.



췌장암 치료
췌장암의 가장 효과적인 치료법은 수술적 절제이지만, 이는 췌장암 환자의 약 20~25%에서만 가능합니다. 실제로 황달이 초기 증상인 췌장 머리에 종양이 있는 환자에 국한되는 경우가 대부분이며, 수술이 불가능한 췌장암 환자의 평균 생존기간은 약 6개월로 이들 환자의 치료 목표는 생존 기간 동안 증상을 완화하고 삶의 질을 개선하는 것입니다.






췌장암 예방법
췌장암 예측은 아직 정확하지 않지만 그렇다고 해서 고구마, 브로콜리, 양배추, 시금치, 마늘, 양파, 저지방 요구르트, 마, 비트, 피망, 버섯, 오이, 콜라비 등 췌장에 좋은 음식을 섭취하는 것을 멈추지 마세요. 특히 참마는 뮤신 함량이 높아 위벽을 보호하고 소화불량을 개선하며 단백질 소화 흡수를 돕고 췌장의 부담을 줄여 인슐린 분비를 촉진하는 효과가 있습니다. 그 외에도 좋은 식단은 규칙적인 운동과 병행해야 합니다.
췌장암의 초기 증상은 시간을 지체할 경우 빠르게 악화될 수 있기 때문에 빠른 대처와 확인이 중요합니다. 비만과 당뇨 대사증후군 환자가 급증하면서 췌장암의 위험도 높아지고 있는 만큼 초기 증상을 미리 알아두는 등 철저한 대비가 필요합니다.
역류성 식도염 증상 9가지 치료방법
역류성 식도염 증상 9가지 치료방법 이번에는 많은 분들이 겪고 있는 역류성 식도염 증상, 치료방법, 역류성 식도염 예방법에 대해서 알아보도록 하겠습니다. 역류성 식도염은 소량의 위 내용물
onestarv.com
폐암 초기증상 잔기침 심장 두근거림 증상확인
폐암 초기증상 잔기침 심장 두근거림 증상확인 갑자기 기침을 많이 하고 목소리가 쉰다거나, 날카롭게 쑤시는 듯한 가슴통증이 있으신가요? 기침을 하다가 피가 섞인 가래가 나오시나요? 이러
onestarv.com
틱장애 증상 원인 치료방법 모두 알아보기
틱장애 증상 원인 치료방법 알아보기 예전에 비해 틱장애에 대해서 많이 알려지다 보니 내 아이가 갑자기 이상한 소리를 지속적으로 내거나, 눈을 자주 깜빡거리거나, 킁킁거리는 소리를 계속
onestarv.com
댓글